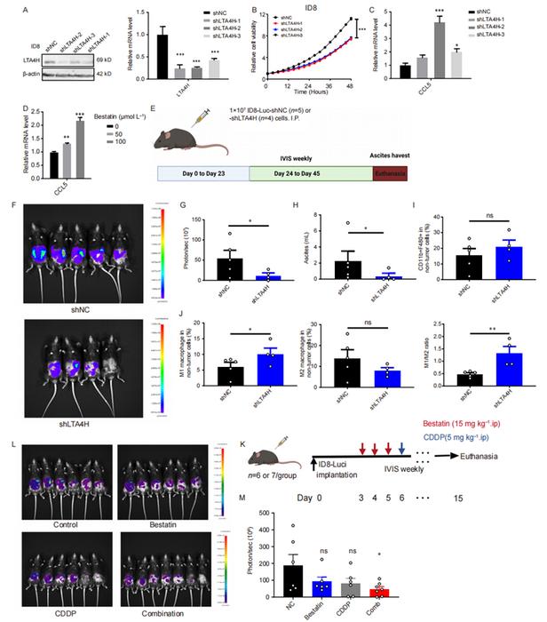
靶向LTA4H抑制卵巢癌的体内生长。 (IMAGE) Science China Press Caption 敲减LTA4H导致小鼠卵巢癌生长减慢和腹水形成减少。流式细胞术结果显示,腹水细胞中M1巨噬细胞比例以及M1 / M2巨噬细胞比例显著升高。此外,LTA4H抑制剂Bestatin与顺铂联合可增强抗肿瘤作用。 Credit ©《中国科学》杂志社 Usage Restrictions Use with credit. License Original content Disclaimer: AAAS and EurekAlert! are not responsible for the accuracy of news releases posted to EurekAlert! by contributing institutions or for the use of any information through the EurekAlert system.