Application of Cone-beam Computed Tomography in Interventional Therapies for Liver Malignancy: A Consensus Statement by the Chinese College of Interventionalists (IMAGE)
Caption
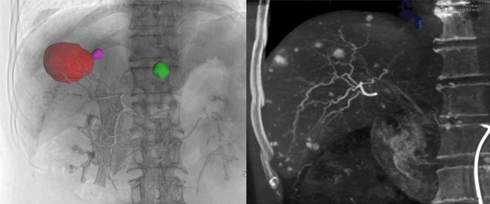
Despite its crucial role in interventional therapies for liver malignancy, cone-beam computed tomography (CBCT) has not yet been fully integrated into clinical practice due to several complicating factors, including nonstandardized operations and limited recognition of CBCT among interventional radiologists. In response, the Chinese College of Interventionalists has released a consensus statement aimed at standardizing and promoting the application of CBCT in the interventional therapies for liver malignancy. This statement summarizes CBCT scanning techniques, and operational standards, and highlights its potential applications in clinical practice.
Credit
Cai-Fang Ni, Zhi-Ping Yan, Bin-Yan Zhong, Zhong-Zhi Jia
Usage Restrictions
Credit must be given to the creator. Only noncommercial uses of the work are permitted.
License
CC BY-NC