Representative images of sections of the lung, liver, and small intestine from wild type and knockout mice (IMAGE)
Caption
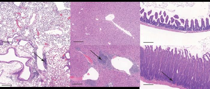
Representative images of sections (from L-R) of the lung, liver, and small intestine from control (upper panel) and knockout mice (lower panel) which displayed clinical signs. The arrows indicate accumulation of immune cells into these tissues. Tissue sections were stained with haematoxylin and eosin. Scale bar represents 200mm.
Credit
The Babraham Institute
Usage Restrictions
Use with credit.
License
Original content