Images of positive CT colonography screening examination result in an asymptomatic 67-year-old man. (IMAGE)
Caption
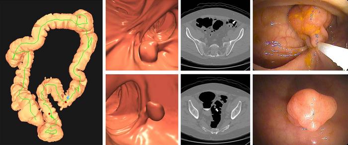
Images of positive CT colonography (CTC) screening examination result in an asymptomatic 67-year-old man. Three-dimensional colon map from CTC (left image) shows the location of two sigmoid polyps that were detected (red dots). Three-dimensional endoluminal and confirmatory two-dimensional transverse CTC images show a large 1.6- cm pedunculated polyp on top row (arrow) and a 9-mm pedunculated polyp in the distal sigmoid on the bottom row (arrow). Both polyps were confirmed and resected at optical colonoscopy performed the same day (right images), avoiding the need for a second bowel preparation. The larger polyp proved to be a tubulovillous adenoma (large advanced adenoma), whereas the smaller polyp was a nonadvanced tubular adenoma. Compare this level of information of a positive CTC screening test result with a positive multitarget stool DNA test result, for which no specific information is provided.
Credit
Radiological Society of North America (RSNA)
Usage Restrictions
May use with credit.
License
Licensed content