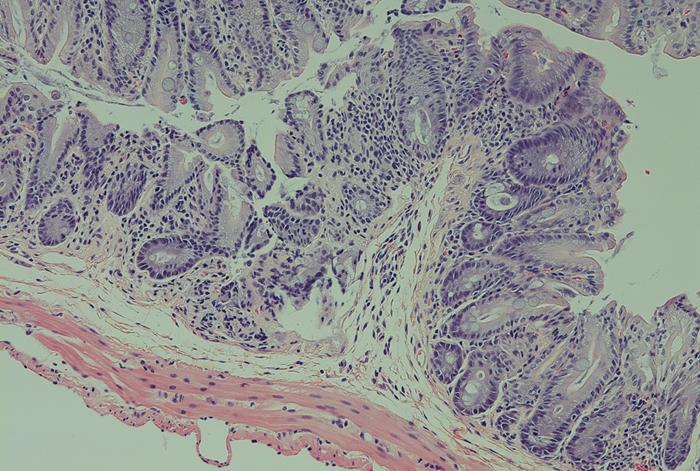
Standard tissue staining of a mouse intestine demonstrating robust inflammation in the absence of ILC3-specific STING. (IMAGE)
Caption
Standard tissue staining of a mouse intestine demonstrating robust inflammation in the absence of ILC3-specific STING
Credit
courtesy of Dr. Wenqing Zhou and Dr. Greg Sonnenberg.
Usage Restrictions
None
License
Original content