Larger active zones (IMAGE)
Caption
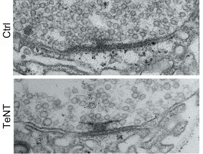
A detail of a figure from the paper shows synapses formed between a neuron (above) and muscle (below) a narrow cleft. The distinct T-bar shape indicates an active zone. In the upper image, the synapse developed normally. In the bottom image, researchers disrupted activity of the synapse. As a result, the active zone grew much larger (both images are at the same scale). Credit: Yulia Akbergenova.
Credit
Littleton Lab/MIT Picower Instittute
Usage Restrictions
with credit
License
Original content