BPTF knockout tumor (IMAGE)
Caption
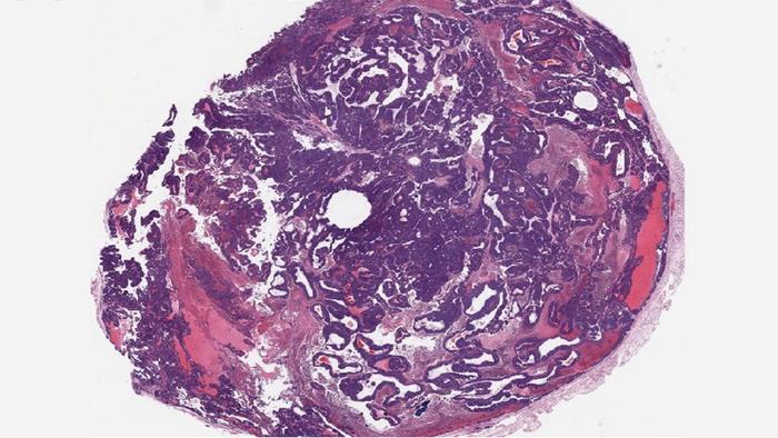
A mammary tumor from a BPTF knockout mouse; animals with lower levels of this protein had fewer cancer metastases and lived longer than those with normal BPTF levels.
Credit
dos Santos lab/CSHL
Usage Restrictions
Attribution required
License
Original content