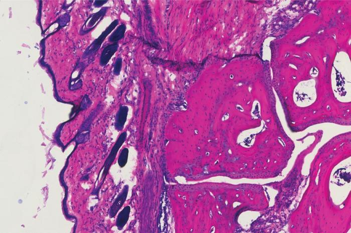
Antibody treatment (IMAGE)
Caption
A histology showing the ankle joint of a mouse four days after receiving the new antibody treatment, V11 sFc.
Credit
Ravetch lab at The Rockefeller University
Usage Restrictions
Image may only be used to illustrate the research described in the accompanying release.
License
Original content