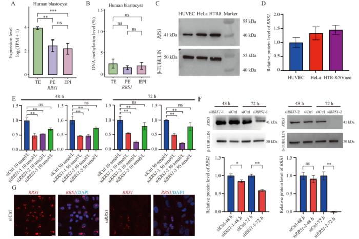
RRS1 successfully knocked down in HTR-8/SVneo cells
Credit
HIGHER EDUCATON PRESS
Usage Restrictions
none
License
Original content
Disclaimer: AAAS and EurekAlert! are not responsible for the accuracy of news releases posted to EurekAlert! by contributing institutions or for the use of any information through the EurekAlert system.