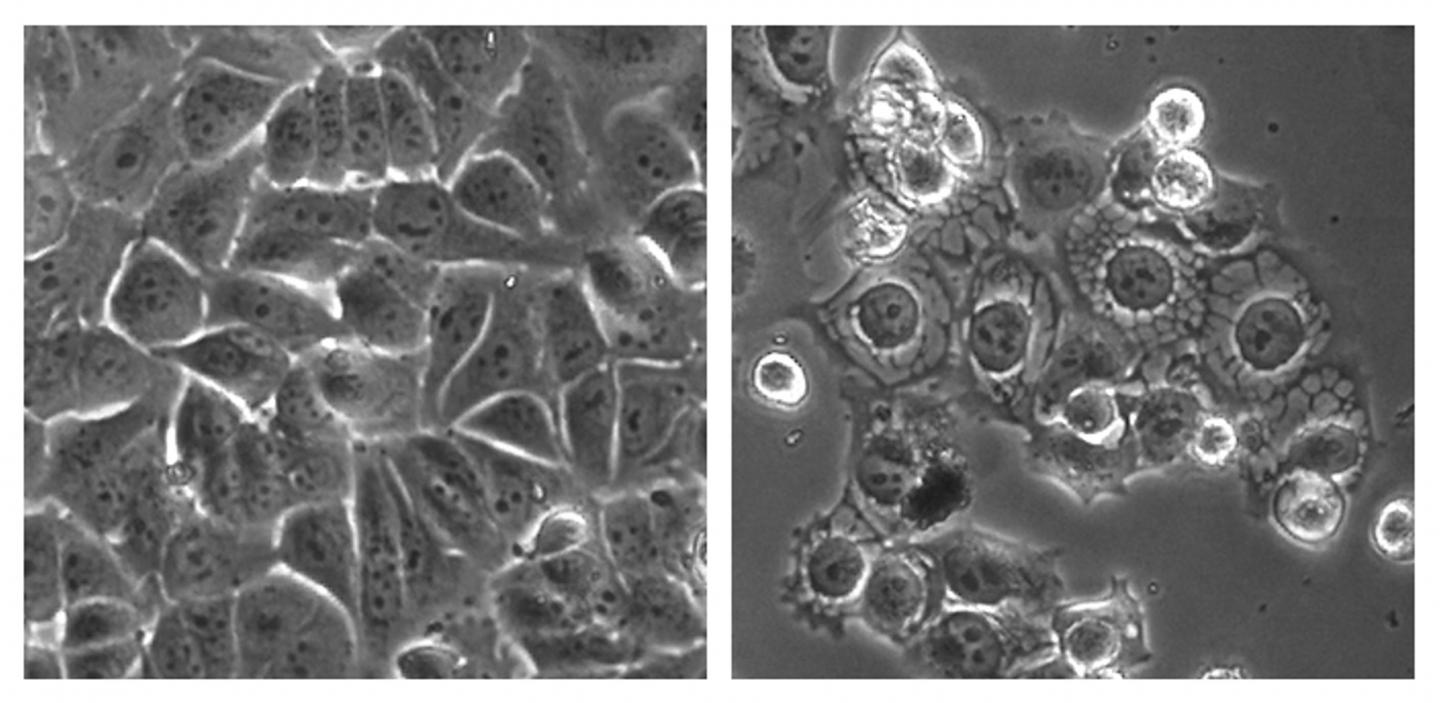
Cancer cells were treated with a control (left) and the overstimulating compound MCB-613 (right).
Credit
Lei Wang
Usage Restrictions
Credit Required.
License
Licensed content
Disclaimer: AAAS and EurekAlert! are not responsible for the accuracy of news releases posted to EurekAlert! by contributing institutions or for the use of any information through the EurekAlert system.