Atherosclerotic Plaque (IMAGE)
Caption
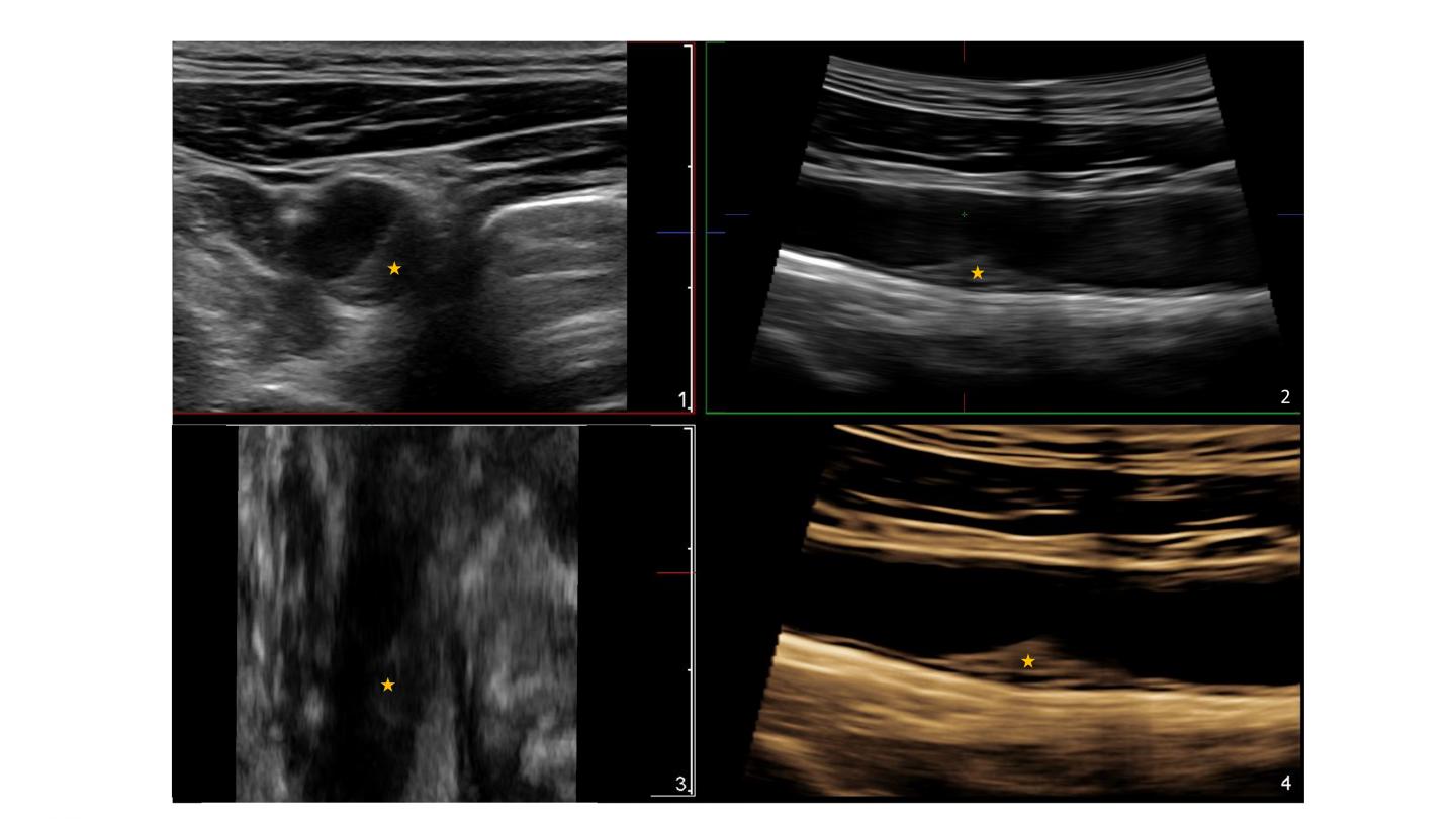
Asterisks indicate the presence of an atherosclerotic plaque in the common carotid artery detected by 3D ultrasound. The plaque does not cause significant obstruction of the artery (<50%). The size and shape of the plaque can be determined in 3D, allowing accurate monitoring of changes in volume over time that indicate progression of the disease.
Credit
CNIC
Usage Restrictions
None
License
Licensed content