Protein that Distracts Antibodies Helps Pathogens (4 of 5) (IMAGE)
Caption
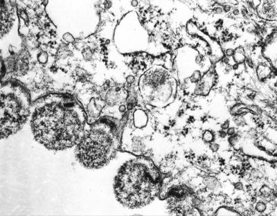
This is a transmission electron microscopy image of human pathogenic bacteria Mycoplasma genitalium attacking the surface of a human cervical cell. The electron dense remnant of the terminal tip is evident near the bacterial/cervical cell border. This image relates to a paper that appeared in the Feb. 7, 2014, issue of Science, published by AAAS. The paper, by Rajesh K. Grover at the Scripps Research Institute in La Jolla, CA, and colleagues was titled, "A Structurally Distinct Human Mycoplasma Protein that Generically Blocks Antigen-Antibody Union."
Credit
Image courtesy of Rajesh K. Grover and Richard B. Pyles
Usage Restrictions
Please cite the owner of the image when publishing. This image may be freely used by reporters as part of news coverage, with proper attribution. Non-reporters must contact <i>Science</i> for permission.
License
Licensed content