Aurura A in PKD Cysts (IMAGE)
Caption
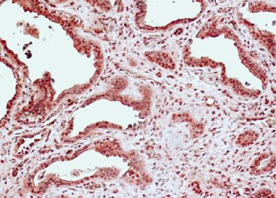
Red staining indicates the presence of activated Aurora A kinase in the epithelial cells lining cysts in the kidneys of patients with polycystic kidney disease (PKD). A new study in The Journal of Cell Biology suggests that Aurora A may contribute to PKD, a common genetic disease, by inactivating a key calcium channel in kidney cells.
Credit
Plotnikova, O.V., and E.A. Golemis. 2011. J. Cell Biol. doi:10.1083/jcb.201012061.
Usage Restrictions
Reporters may freely use these materials in news coverage, with the appropriate credit information.
License
Licensed content