Colitis (IMAGE)
Caption
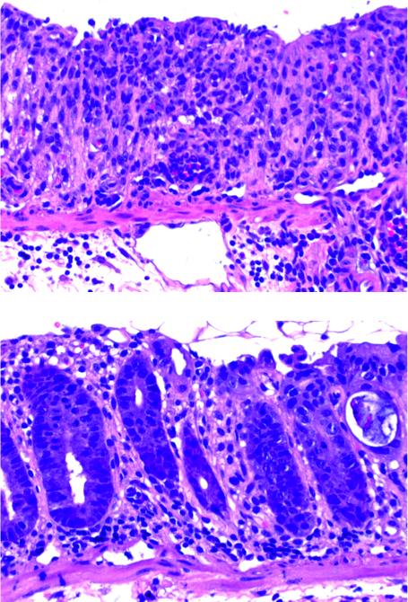
The gut mucosa is not only responsible for the uptake of nutrients, but it also forms a barrier against the microbes that inhabit our intestine. If this barrier is broken, inflammation of the gut, colitis, develops. Upper graph (wildtype): By inducing experimental colitis, the mucosa structure is destroyed and a large infiltrate of inflammatory cells is present. Lower graph: Organisms lacking transcription factor IRF9 are more resistant, seen by a more intact crypt structure and less inflammatory cells.
Credit
Copyright: MCB
Usage Restrictions
The image may only be used with appropriate caption or credit.
License
Licensed content