High Expression of COMP in Breast Cancer Cells (IMAGE)
Caption
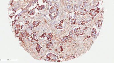
High expression of COMP in breast cancer cells, seen here in brown, is associated with poor clinical prognosis for the patient. Cancer cells expressing COMP become more invasive and change their metabolism, which allows them to survive better and spread to other organs.
Credit
Photo: Anna Bloms / Lund University
Usage Restrictions
Photo: Anna Bloms / Lund University
License
Licensed content