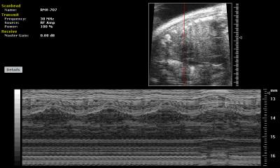
This ultrasound image shows a fetal mouse heart accompanied by an M‑mode Doppler reading of the heart rate.
Credit
UCSF
Usage Restrictions
Credit UCSF
License
Licensed content
Disclaimer: AAAS and EurekAlert! are not responsible for the accuracy of news releases posted to EurekAlert! by contributing institutions or for the use of any information through the EurekAlert system.