Mutation Underlying Motor Neuropathy Uncovered (1 of 2) (IMAGE)
Caption
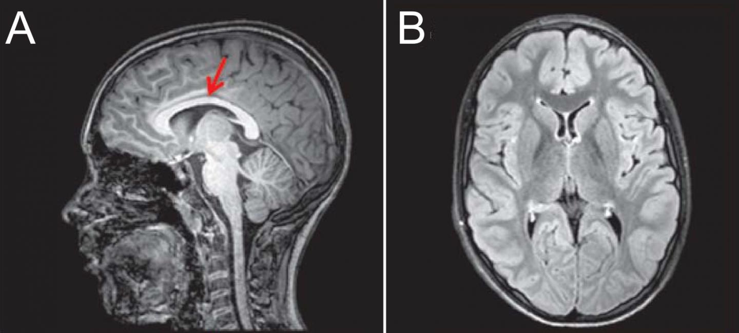
Brain imaging of a patient with a KCC3 T991A mutation. (A) T1 sequence brain MRI, midsagittal view. Corpus callosum is indicated by red arrow. (B) Fluid-attenuated inversion recovery sequence brain MRI, axial view, demonstrating normal brain volume. This material relates to a paper that appeared in the Aug. 2, 2016 issue of Science Signaling, published by AAAS. The paper, by K.T. Kahle at ale School of Medicine in New Haven, CT, and colleagues was titled, "Peripheral motor neuropathy is associated with defective kinase regulation of the KCC3 cotransporter."
Credit
Kahle <i>et al., Science Signaling</i> (2016)
Usage Restrictions
Please cite the owner of the material when publishing. This material may be freely used by reporters as part of news coverage, with proper attribution. Non-reporters must contact <i>Science</i> for permission.
License
Licensed content