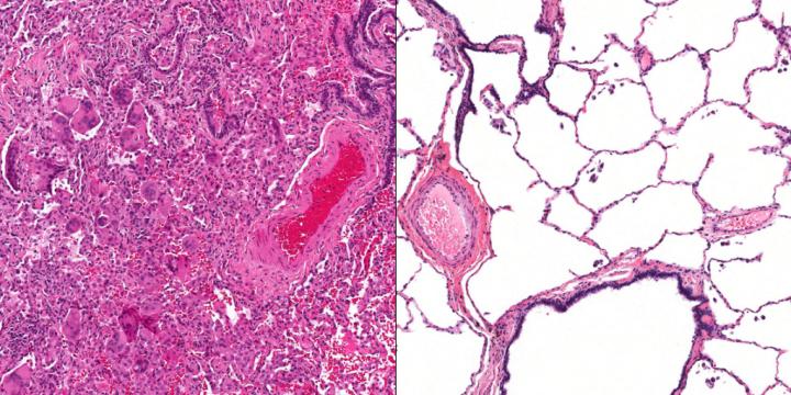
Comparison of Patient's Lung Tissue and Healthy Lung Tissue (IMAGE)
European Respiratory Society
Caption
Patient's lung tissue under the microscope (l) and healthy lung tissue under the microscope (r).
Credit
Kirk Jones, UCSF
Usage Restrictions
None
License
Licensed content
Disclaimer: AAAS and EurekAlert! are not responsible for the accuracy of news releases posted to EurekAlert! by contributing institutions or for the use of any information through the EurekAlert system.