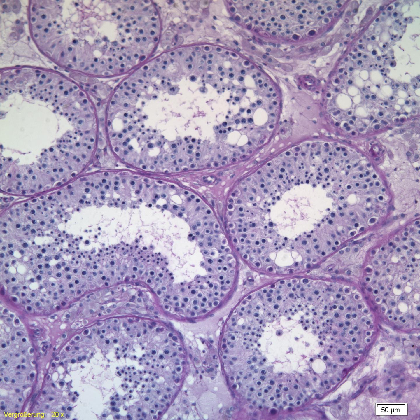
This is a section of a normal testes of a young man.
Credit
Professor Stefan Schlatt, University of Muenster
Usage Restrictions
Please credit
License
Licensed content
Disclaimer: AAAS and EurekAlert! are not responsible for the accuracy of news releases posted to EurekAlert! by contributing institutions or for the use of any information through the EurekAlert system.