Electron Microscopic Image of Nerves (IMAGE)
Caption
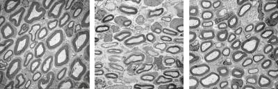
These are electron microscopic images of cross sections of nerves in a healthy rat (left), a rat suffering from CMT1A (centre) and a rat suffering from CMT1A that has been treated with neuregulin-1 (right). The neuregulin-1 treatment leads to improved myelination in the CMT1A rat model, which comes close to that of healthy animals.
Credit
Fledrich et al, Nat. Med. 2014
Usage Restrictions
None
License
Licensed content