Nasal vaccine against COVID-19 prevents infection in mice (IMAGE)
Caption
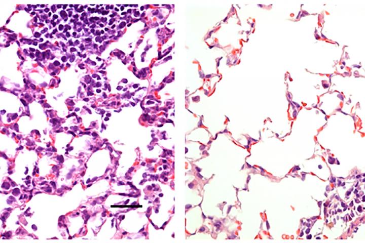
Researchers at Washington University School of Medicine in St. Louis have developed a COVID-19 vaccine delivered via the nose that protects mice from the virus. Shown is mouse lung tissue infected with SARS-CoV-2, the virus that causes COVID-19. On the left is lung tissue from a mouse that received a control vaccine that produced no protective effects. It shows a large number of inflammatory cells. On the right is lung tissue from a mouse that received a nasal vaccine encoding the virus' spike protein. The vaccine protected against infection, and large numbers of inflammatory cells are absent.
Credit
Hassan et al.
Usage Restrictions
None
License
Licensed content