MRI of the Brain of a Full-term Newborn Infant (IMAGE)
Caption
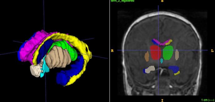
MRI of the brain of a full-term newborn infant from the coronal perspective (left) and a 3-D representation of the infant's subcortical structures (right). The subcortical structures are the parts of the brain that support functions such as the perception of sensations, learning, reasoning and memory.
Credit
Children's Hospital Los Angeles
Usage Restrictions
None
License
Licensed content