The Moral Brain (IMAGE)
Caption
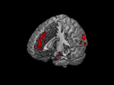
Brain regions involved in moral judgment are shown. Neuroscience work demonstrates that the brain regions underpinning morality share resources with circuits controlling other capacities such as emotional saliency, mental state understanding, and decision-making.
Credit
Dr. Jean Decety/University of Chicago
Usage Restrictions
None
License
Licensed content