Myelin (IMAGE)
Caption
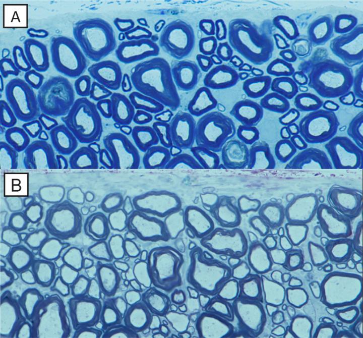
The normal mature dog spinal cord (A) has many axons surrounded by thick myelin sheaths (blue). In contrast, in the recovered dog with the genetic abnormality (B), there are many axons with thin myelin sheaths, identical to that seen in remyelination.
Credit
Submitted
Usage Restrictions
None
License
Licensed content