New treatment target ID’d for radiation-resistant cervical cancer (IMAGE)
Caption
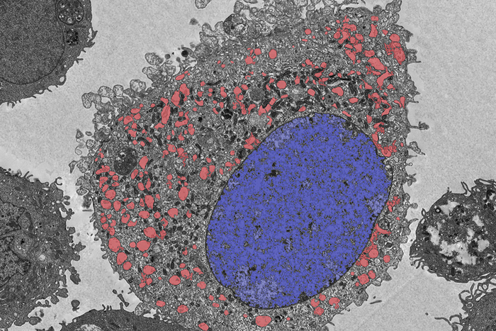
Two new studies from Washington University School of Medicine in St. Louis have identified a previously unrecognized pathway of cell death — named lysoptosis — and demonstrate how it could lead to new therapies for cervical cancer. Pictured is a human cervical cancer cell that is undergoing lysoptosis triggered by radiation. The cell is missing a key gene that protects against this type of cell death, making the cell easier to kill with radiation and chemotherapy. Lysosomes are shown in red. The cell nucleus is in blue.
Credit
Stephanie Markovina, Wandy Beatty
Usage Restrictions
None
License
Original content