MRI Scans of Two Infants (IMAGE)
Caption
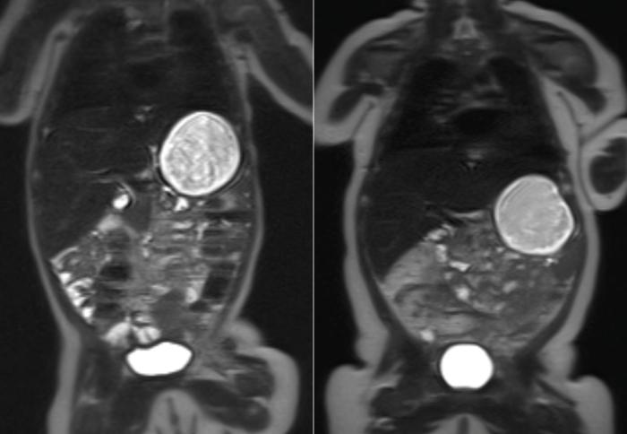
These are MRI scans of two babies at ten weeks old. The child on the left was born to a healthy mother, while the child on the right was born to a mother with gestational diabetes. The white area on the outside of the body is fat tissue. (The large white circle in the body is milk in the stomach)
Credit
Imperial College London
Usage Restrictions
None
License
Licensed content