CT Scans of Traumatic Brain Iinjury (IMAGE)
Caption
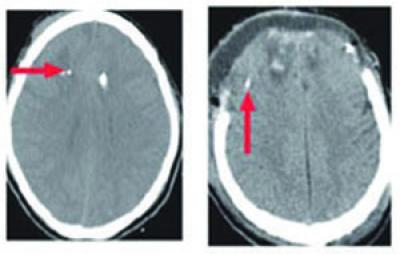
These are CT scans of two patients with traumatic brain injury. Red arrows point to the catheter tips used to collect samples of brain fluid by microdialysis. Though both patients are injured, only the CT scan on the right shows an obvious problem (top of image). While CT scans are good at finding problems that are immediately life-threatening (such as a hemorrhage that requires surgery), they do not always reflect the amount of axonal injury. Measuring tau protein by microdialysis and special imaging techniques, such as diffusion tensor imaging, may help to better assess the extent of injury to the brain's fragile axons.
Credit
David L. Brody, MD, PhD
Usage Restrictions
None
License
Licensed content