image (IMAGE)
Caption
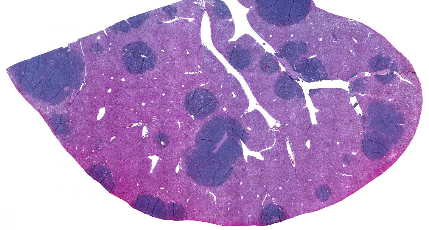
Small cell lung cancer (SCLC) is a highly metastatic cancer. The liver is one of the common sites of metastases, as seen in this image of mouse liver with metastatic SCLC lesions. SCLC tumors are composed of tightly packed epithelial cells with few immune cells infiltrating inside the tumor.
Credit
UT Southwestern Medical Center
Usage Restrictions
None
License
Licensed content