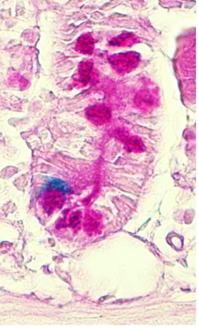
This is a stem cell (blue) from the intestinal crypt.
Credit
Norifumi Takeda, Raj Jain and Jon Epstein, Perelman School of Medicine, University of Pennsylvania
Usage Restrictions
None
License
Licensed content
Disclaimer: AAAS and EurekAlert! are not responsible for the accuracy of news releases posted to EurekAlert! by contributing institutions or for the use of any information through the EurekAlert system.