Boosting T cells improves survival in mice with glioblastoma (IMAGE)
Caption
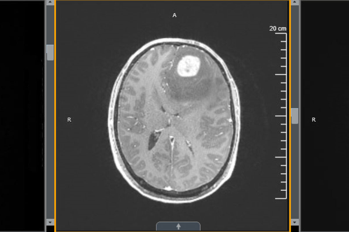
A new study from Washington University School of Medicine in St. Louis shows that treatment with an immune-boosting protein called interleukin 7 (IL-7) in combination with radiation improves survival in mice with glioblastoma. Shown is an MRI scan of the brain of a patient with glioblastoma.
Credit
Washington University School of Medicine
Usage Restrictions
None
License
Original content