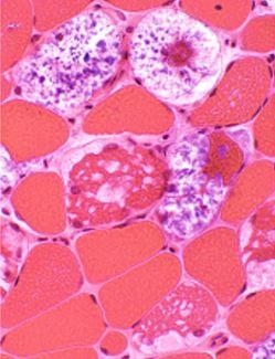
Pompe Disease (IMAGE) University of Cincinnati Caption Pompe disease muscle slide from Kushlaf lab. Credit University of Cincinnati Usage Restrictions None License Licensed content Disclaimer: AAAS and EurekAlert! are not responsible for the accuracy of news releases posted to EurekAlert! by contributing institutions or for the use of any information through the EurekAlert system.