Mouse Spleen Cells Infected with Zika Virus (IMAGE)
Caption
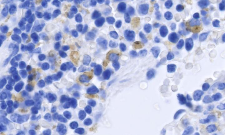
Mouse spleen cells infected with Zika virus. Infected cells are shown in brown, cell nuclei in blue.
Credit
Courtesy of the Shresta lab at La Jolla Institute for Allergy and Immunology.
Usage Restrictions
None
License
Licensed content