Immunohistochemical imaging of blood vessels in skin lesions during bacterial infection (IMAGE)
Caption
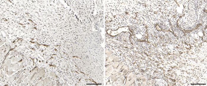
Injured skin sites of mice lacking the signaling factor HIF-1α in natural killer cells (right image) show a higher vessel density than normal mice (left image). This leads to an increased transfer of bacteria from the skin into the bloodstream.
Credit
University of Zurich
Usage Restrictions
none
License
Original content