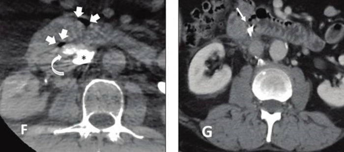
58-year-old patient referred for complex IVC filter retrieval after dwell time of 72 months (IMAGE)
Caption
F, Axial image from cone-beam CT immediately following retrieval shows two foci of gas in retroperitoneum (white block arrows) and contained contrast extravasation (curved white arrow) from IVC (asterisk). G, Axial image from contrast-enhanced CT performed 1 day post-retrieval shows interval placement of hemoclips in duodenum (arrow), with no further extravasation evident. This was only patient in study sample who experienced major adverse event during complex retrieval.
Credit
ARRS/AJR
Usage Restrictions
ARRS/AJR
License
Original content