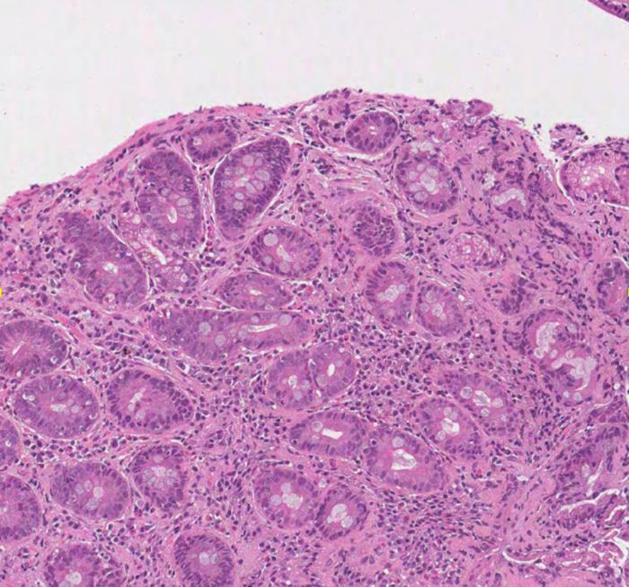
Microscopic image showing diseased villi (IMAGE) University of Cambridge Caption Microscopic image showing diseased villi Credit Florian Jaeckle/University of Cambridge Usage Restrictions For use in relation to this study only License Original content Disclaimer: AAAS and EurekAlert! are not responsible for the accuracy of news releases posted to EurekAlert! by contributing institutions or for the use of any information through the EurekAlert system.