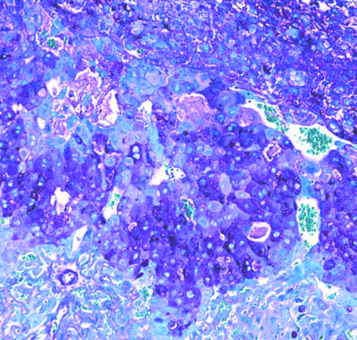
Microscope image of mouse placenta (IMAGE)
Caption
Over 150 biological processes in the placenta - involving over 400 different proteins - were found to be different in mice with, and without, Bifidobacterium breve in their gut.
Credit
Jorge Lopez-Tello/ University of Cambridge
Usage Restrictions
With credit
License
Original content