Scripps Research study reveals how uterine contractions are regulated by stretch and pressure during childbirth (IMAGE)
Caption
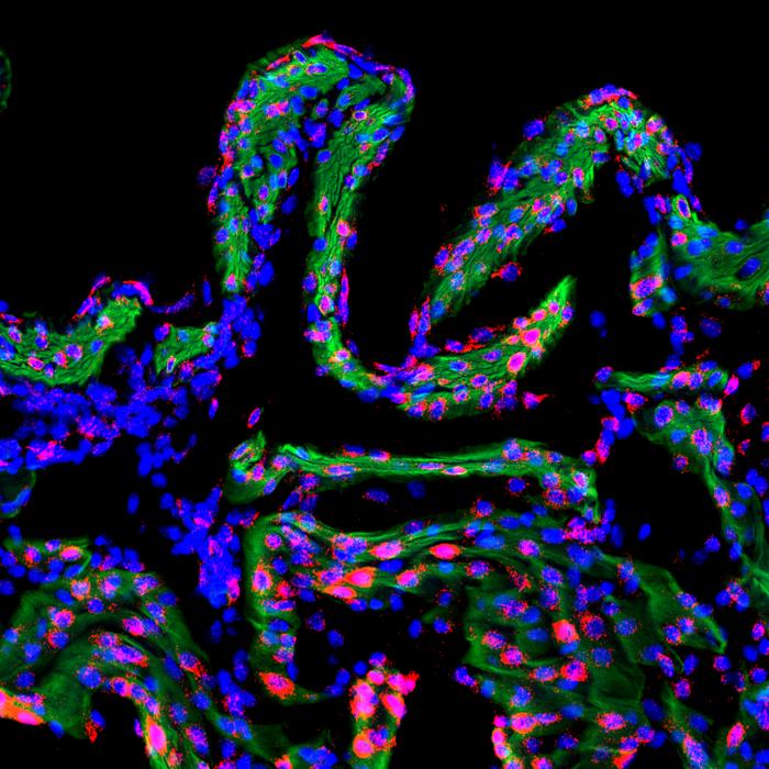
Gja1 transcripts in mouse uterine muscle near the end of pregnancy (gestational day 18.5). Gja1 encodes connexin 43, a protein that increases at this stage to help coordinate uterine contractions. Green indicates smooth muscle fibers in the uterus, red marks Gja1 mRNA, and blue shows cell nuclei.
Credit
Scripps Research
Usage Restrictions
Can be used with related coverage and with credit
License
Original content