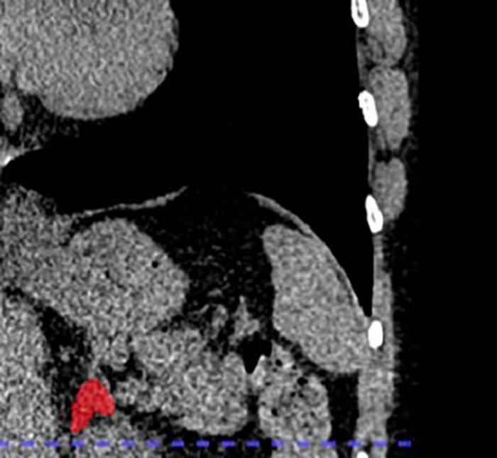
Left adrenal automated 2D segmentation in chest CT. (IMAGE)
Radiological Society of North America
Caption
Left adrenal automated 2D segmentation in chest CT.
Credit
Elena Ghotbi, M.D., and RSNA
Usage Restrictions
May use with credit.
License
Licensed content
Disclaimer: AAAS and EurekAlert! are not responsible for the accuracy of news releases posted to EurekAlert! by contributing institutions or for the use of any information through the EurekAlert system.