Mammogram shows spot on right mediolateral oblique (side angle) view. (IMAGE)
Caption
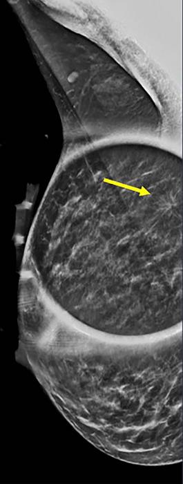
Spot on right mediolateral oblique (side angle) view. Area of distortion persists on additional mammographic views, and a mass is identified on subsequent breast ultrasound. Ultrasound guided biopsy was performed and revealed nuclear grade 1 invasive ductal carcinoma.
Credit
Stamatia Destounis, M.D., and RSNA
Usage Restrictions
May use with credit.
License
Licensed content