Neoliensinine binds to STING and promotes STING trafficking to lysosomes for degradation in T-cell malignancies (IMAGE)
Caption
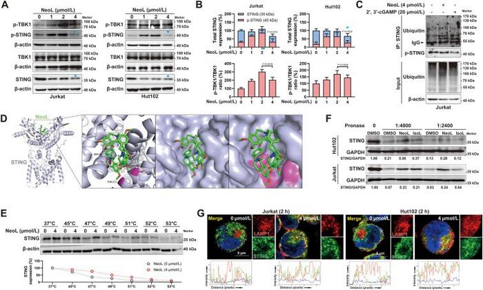
(A) NeoL activates STING-TBK1 pathways. Jurkat and Hut102 cells were treated with 0–4 μmol/L of NeoL for 4 h, and the expression of p-TBK1, TBK1, p-STING, and STING was determined by western blotting, with β-actin as a loading control. p-STING and p-TBK1 were increased at 1 and 2 μmol/L but declined at 4 μmol/L (blue arrowheads).
(B) Quantification of total expression of STING in Jurkat and Hut102 cells, showing significant reduction of total STING and p-STING (blue arrowheads) after 4 h of NeoL treatment at 4 μmol/L, suggesting accelerated degradation of p-STING under 4 μmol/L of NeoL (n = 3).
(C) STING-Ubiquitin co-precipitation. Jurkat cells were treated with 20 μmol/L of 2',3'-cGAMP for 12 h or 4 μmol/L of NeoL for 2 h. STING served as a loading control for immunoprecipitation. For input, β-actin served as a loading control, showing increased ubiquitin after STING activation.
(D) The interaction between STING and NeoL was revealed by molecular docking.
(E) The interaction between STING and NeoL was confirmed by DARTS assay. Cell lysates were incubated with DMSO, NeoL, or IsoL, and digested with pronase in 1:4800 or 1:2400 dilution. Immunoblotting demonstrated increased STING after NeoL incubation. GAPDH was used as a loading control.
(F) The interaction between STING and NeoL was also confirmed by CETSA assay. Cells were incubated with 4 μmol/L of NeoL or DMSO for 30 min, divided into seven pairs, and treated at the indicated temperatures for 3 min. Soluble proteins were extracted by freezing/thawing in liquid nitrogen, blotted for STING or β-actin as a loading control. Increased STING was detected in lysate at 47 °C, 49 °C, and 51 °C.
(G) The Jurkat and Hut102 cells were treated without or with 4 μmol/L of NeoL for 2 h and immune-labelled with anti-STING (green) and anti-LAMP1 for lysosomes (red). NeoL treatment increased the colocalization of lysosomes and STING. The coincidence of fluorescence curves was analyzed by Image J software. P values were indicated in the graph, and P < 0.05 indicates statistical significance.
Credit
Po Hu, Yuxuan Huang, Zipeng Yu, Xiaolong Zhang, Guangming Yang, Yang Pan
Usage Restrictions
Credit must be given to the creator. Only noncommercial uses of the work are permitted. No derivatives or adaptations of the work are permitted.
License
CC BY-NC-ND