STING/TUBA1B mediates neoliensinine-induced lysosomal disorders and lysosome-dependent cell death in T-cell malignancies (IMAGE)
Caption
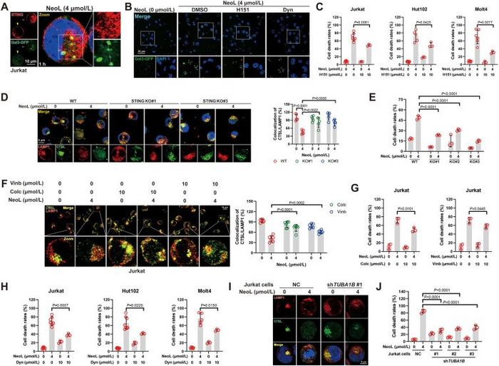
(A) Gal3-GFP-expressing Jurkat cells were treated with 4 μmol/L of NeoL for 1 h, and immunolabeled for STING (red). Two cells in the same field under NeoL treatment were imaged by confocal microscopy. The white arrowhead indicates a cell with damaged lysosomes, and the yellow arrowhead shows a cell without obvious lysosome damage. The cell with lysosome damage was shown with an enlarged image to show co-localization of Gal3-GFP puncta with STING.
(B) Jurkat cells with the stable expression of Gal3-GFP were pretreated with 10 μmol/L of H151 (a STING inhibitor) or 10 μmol/L Dynasore (Dyn, a dynamin-dependent endocytosis blocker) for 1 h and then treated with 4 μmol/L of NeoL for 1 h, and imaged by confocal microscopy. The Gal3-GFP aggregates were labeled with 1–7 corresponding to increasing sizes of the puncta. Both the size and number of NeoL-induced Gal3-GFP puncta were reduced by H151 or Dyn treatment.
(C) Jurkat, Hut102, or Molt4 cells were pre-treated with 10 μmol/L of H151 for 1 h and then treated with 4 μmol/L of NeoL for 4 h. The cell death rates were determined by annexin V/PI staining (n ≥ 3). The STING inhibitor was shown to significantly attenuate cell death in three T-cell malignancy cell lines.
(D) The lysosomal membrane permeabilization (LMP) phenomenon was determined by immunofluorescence assay and co-localization of CTSL and LAMP1. STING KO Jurkat cells (#1 and #3) were treated with 0 or 4 μmol/L of NeoL for 2 h. STING KO was shown to partially reverse NeoL's effect on CTSL distribution.
(E) STING KO Jurkat cells (#1, #2, and #3) were treated with 0 or 4 μmol/L of NeoL for 4 h. The cell death rates were determined by annexin V/PI staining (n = 3). NeoL-induced cell death was decreased in three STING KO Jurkat clones.
(F) Co-localization of CTSL and LAMP1 was used to determine LMP phenomena in Jurkat cells pre-treated with 10 μmol/L of microtubule destabilizers, colchicine (Colc) or vinblastine sulfate (Vinb), for 1 h and then treated with 0 or 4 μmol/L of NeoL for 2 h. Microtubule destabilizers were shown to ameliorate NeoL-induced lysosome leakage.
(G) Jurkat cells were pre-treated for 1 h with 10 μmol/L of Colc or 10 μmol/L of Vinb, and then treated with 0 or 4 μmol/L NeoL for 4 h. The cell death rates were determined by annexin V/PI staining (n = 3). Both Colc and Vinb were shown to reduce NeoL-induced Jurkat cell death.
(H) Jurkat, Hut102, or Molt4 cells were pre-treated with 10 μmol/L of Dyn for 1 h and then treated with 4 μmol/L of NeoL for 4 h. The cell death rates were determined by annexin V/PI staining (n ≥ 3). Blocking dynamin-dependent lysosome endocytosis partially reduced NeoL-induced death rates in T-cell malignancy cells.
(I) The LMP phenomenon was determined by reduced co-localization of CTSL and LAMP1 immunofluorescence. Jurkat cells transfected with TUBA1B shRNA #1 showed improved co-localization of CTSL and LAMP1 under NeoL for 2 h.
(J) Jurkat cells transfected with TUBA1B shRNA #1, #2, or #3 were treated with 0 or 4 μmol/L of NeoL for 4 h. The cell death was determined by annexin V/PI staining (n = 3). TUBA1B knockdown reduced NeoL-induced death of Jurkat cells. P values were indicated in the graph, and P < 0.05 indicates statistical significance.
Credit
Po Hu, Yuxuan Huang, Zipeng Yu, Xiaolong Zhang, Guangming Yang, Yang Pan
Usage Restrictions
Credit must be given to the creator. Only noncommercial uses of the work are permitted. No derivatives or adaptations of the work are permitted.
License
CC BY-NC-ND