Image 2 (IMAGE)
Caption
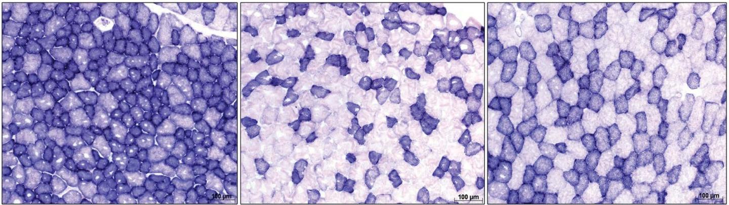
Microscopic images of the amount of enzyme activity (dark purple specks) in the mitochondria in the muscle of mice. When microbes were transplanted into germ-free mice, enzyme activity increased, which translates to a higher capacity for the muscle to produce energy. L-R: Muscle of standard laboratory mice, Muscle of germ-free mice, Muscle of germ-free mice transplanted with gut microbes from lab mice.
Credit
NTU Singapore
Usage Restrictions
Use with mandatory credit
License
Licensed content