Automated Imaging Reveals Where TAU Protein Originates in the Brain in Alzheimer's Disease (2 of 3) (IMAGE)
Caption
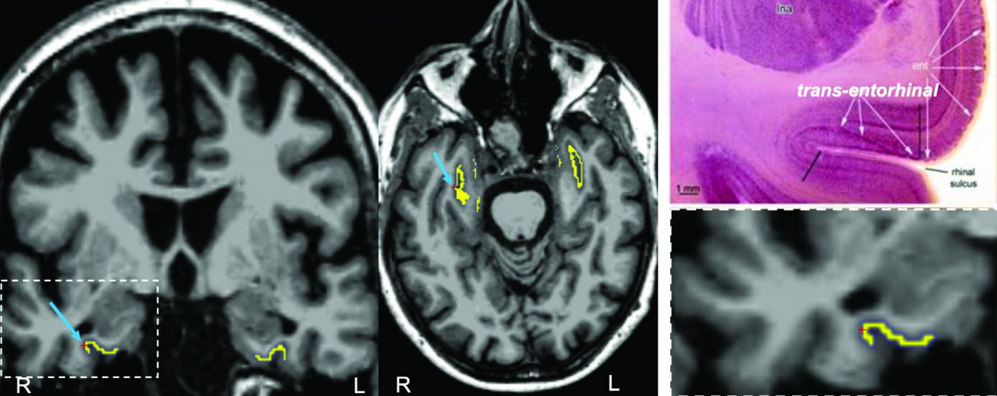
The researchers investigated TAU protein with PET imaging in the rhinal cortex (yellow) in the brains of patients. This material relates to a paper that appeared in the Jan. 20, 2021, issue of <i>Science Translational Medicine</i>, published by AAAS. The paper, by J.S. Sanchez at Massachusetts General Hospital in Boston, MA; and colleagues was titled, "The cortical origin and initial spread of medial temporal tauopathy in Alzheimer's disease assessed with positron emission tomography."
Credit
[Credit: J.S. Sanchez <i>et al., Science Translational Medicine</i> (2021)]
Usage Restrictions
Please cite the owner of the material when publishing. This material may be freely used by reporters as part of news coverage, with proper attribution. Non-reporters must contact <i>Science</i> for permission.
License
Licensed content