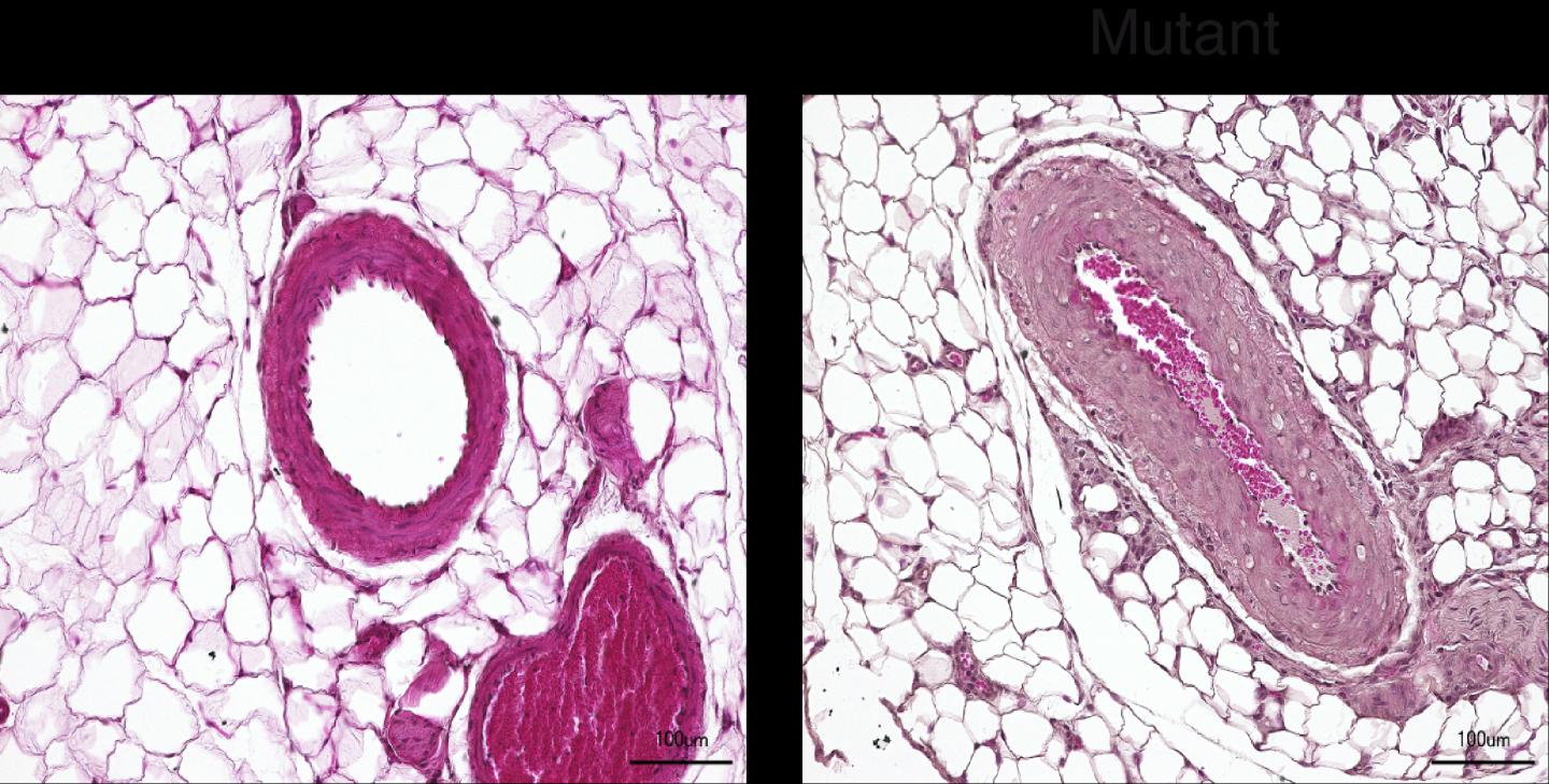
Arteries (IMAGE)

Max Delbrück Center for Molecular Medicine in the Helmholtz Association

Disclaimer: AAAS and EurekAlert! are not responsible for the accuracy of news releases posted to EurekAlert! by contributing institutions or for the use of any information through the EurekAlert system.