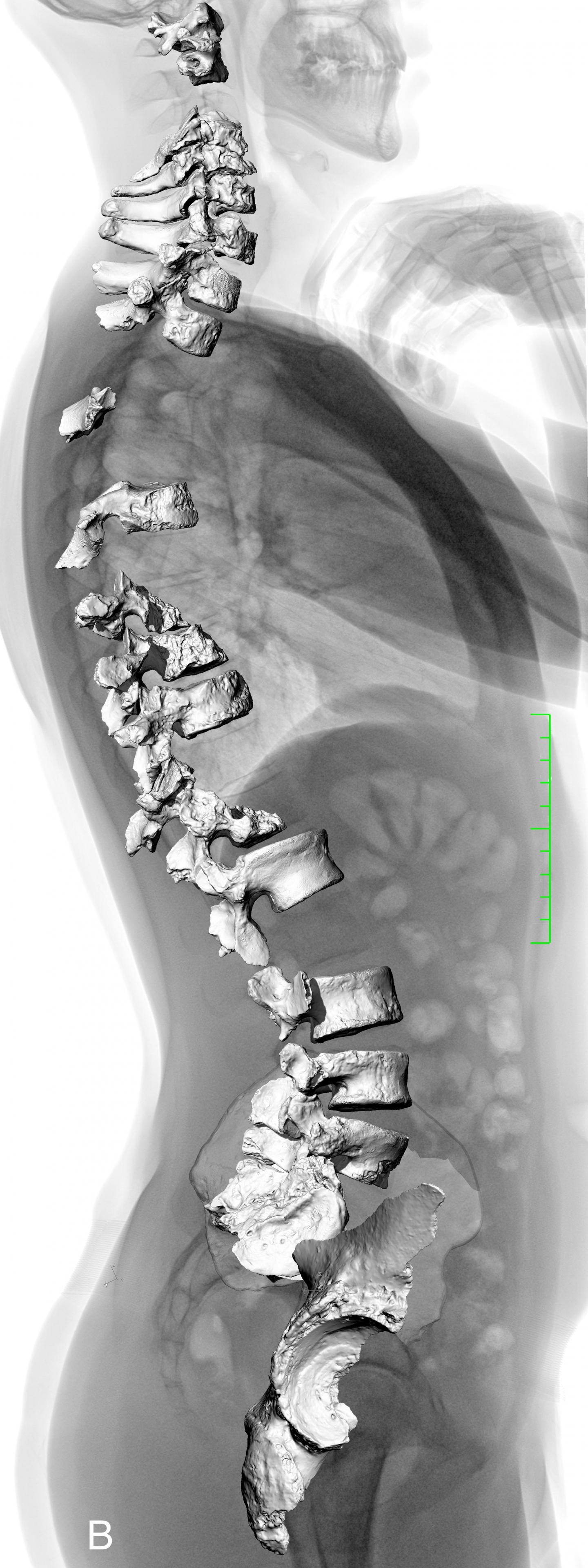
The La Chapelle-aux-Saints Vertebrae, Superimposed on a Full Body Radiograph of a Modern Human (IMAGE)

Proceedings of the National Academy of Sciences

Disclaimer: AAAS and EurekAlert! are not responsible for the accuracy of news releases posted to EurekAlert! by contributing institutions or for the use of any information through the EurekAlert system.