Which Benign Breast Disease Is Most Likely to Develop into Cancer? (IMAGE)
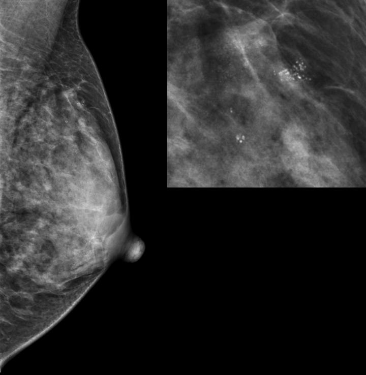
Caption
A radiological image of a suspicious finding. A biopsy would be needed to clarify if it is a benign breast disease and whether or not further investigation is needed.
Credit
Hospital del Mar Medical Research Institute, Barcelona, Spain
Usage Restrictions
None
License
Licensed content