Chest X-Ray (IMAGE)
Caption
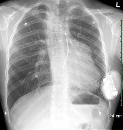
This chest X-ray shows the third subcutaneous implantable cardiac defibrillator (S-ICD) in Canada located under the skin of an 18-year-old patient with congenital heart disease. The electrode can be seen positioned near the heart, but unlike standard ICDs, no part of the device actually touches the heart.
Credit
University of Ottawa Heart Institute
Usage Restrictions
None
License
Licensed content