Deep Learning Algorithm (IMAGE)
Caption
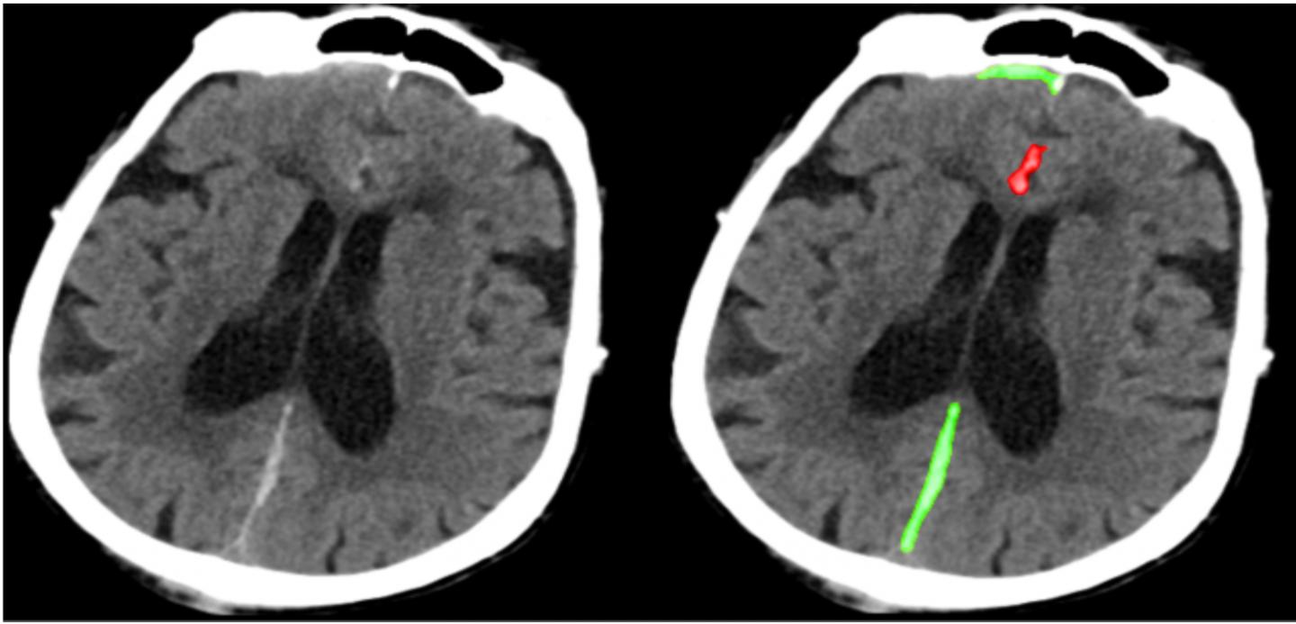
A deep learning algorithm recognizes abnormal CT scans of the head in neurological emergencies such as traumatic brain injury with accuracy similar to highly-trained specialist physicians. The images show the same head CT scan, with the image on the right highlighted to show abnormalities identified by the algorithm. The algorithm also classifies the pathological subtype of each abnormality (red = subarachnoid hemorrhage, green = subdural hemorrhage).
Credit
Image courtesy of Weicheng Kuo, Christian H?ne, Pratik Mukherjee, Jitendra Malik, and Esther Lim Yuh
Usage Restrictions
None
License
Licensed content