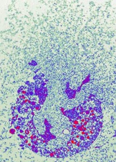
Fig. 2: A neutrophil granulocyte dies releasing NETs.
Credit
Dr. Volker Brinkmann, Max Planck Institute for Infection Biology
Usage Restrictions
None
License
Licensed content
Disclaimer: AAAS and EurekAlert! are not responsible for the accuracy of news releases posted to EurekAlert! by contributing institutions or for the use of any information through the EurekAlert system.