Contours (IMAGE)
Caption
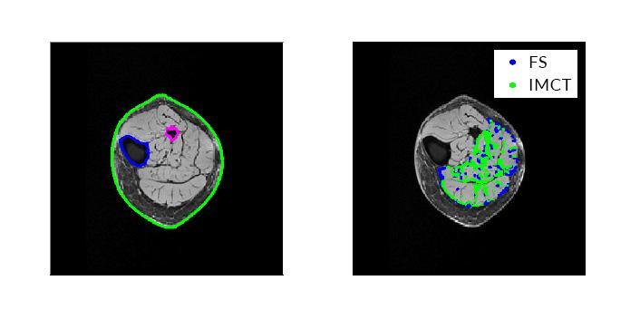
From left: Outer contours and bone contours obtained from segmentation of MRI; and points showing intramuscular connective tissue and intra-muscular fat saturation.
Credit
Jacobs School of Engineering/UC San Diego
Usage Restrictions
Please credit Jacobs School of Engineering/UC San Diego
License
Licensed content